Advertisement

Pathergy - PPT - BEHCET'S DISEASE PowerPoint Presentation, free ... - Pathergy is a skin condition in which a minor trauma such as a bump or bruise leads to the development of skin lesions or ulcers that may be resistant to healing.

Pathergy - PPT - BEHCET'S DISEASE PowerPoint Presentation, free ... - Pathergy is a skin condition in which a minor trauma such as a bump or bruise leads to the development of skin lesions or ulcers that may be resistant to healing.. (medicine) an abnormal condition in which a minor trauma, such as a bruise, leads to the development of skin lesions or ulcers that may be resistant to healing. Pathergy is a skin condition in which a minor trauma such as a bump or bruise leads to the development of skin lesions or ulcers that may be resistant to healing. However, there is no consensus as to the optimal method of testing pathergy in clinical practice. Search for a precise definition, we use the term to group skin lesions that worsen. A positive pathergy test is one of the four minor diagnostic criteria for behçet's disease.

Pathergy is a skin condition in which a minor trauma such as a bump or bruise leads to the development of skin lesions or ulcers that may be. Pathergy phenomenon has been well known to dermatologists since it was first described in 1937 by blobner as a state of altered tissue reactivity in. New latin, from greek, from pathos experience, emotion, passion, suffering more at pathos 1. Dermatology the development of a skin lesion similar or identical to the index lesion at a site of medical dictionary for the health professions and nursing © farlex 2012. A positive pathergy test is one of the four minor diagnostic criteria for behçet's disease.

Pathergy Test - YouTube
Pathergy Test - YouTube from i.ytimg.com
Pathergy reaction is an enhanced inflammatory response observed in bd when traumatic insult or other types of inflammatory stimuli to the skin. Посмотрите твиты по теме «#pathergy» в твиттере. Diagnostic value of pathergy test in behcet's disease according to the change of incidence over the time. Pathergy phenomenon has been well known to dermatologists since it was first described in 1937 by blobner as a state of altered tissue reactivity in. A positive pathergy test is one of the four minor diagnostic criteria for behçet's disease. It is a bedside test induced by insertion of a. Pathergy is a skin condition in which a minor trauma such as a bump or bruise leads to the development of skin lesions or ulcers that may be. Pathergy can also occur at the site of surgical incisions and cause ulcerations.

Pathergy is a skin condition in which a minor trauma such as a bump or bruise leads to the development of skin lesions or ulcers that may be resistant to healing.

Diagnostic value of pathergy test in behcet's disease according to the change of incidence over the time. These images are a random sampling from a bing search on the term pathergy. (medicine) an abnormal condition in which a minor trauma, such as a bruise, leads to the development of skin lesions or ulcers that may be resistant to healing. Pathergy is a skin condition in which a minor trauma such as a bump or bruise leads to the development of skin lesions or ulcers that may be. A positive skin pathergy test (spt), characterised by erythematous induration at the site of. Pathergy phenomenon has been well known to dermatologists since it was first described in 1937 by blobner as a state of altered tissue reactivity in. However, there is no consensus as to the optimal method of testing pathergy in clinical practice. Pathergy is an exaggerated skin injury occurring after minor trauma such as bump, bruise, needle stick injury. Pathergy refers to an abnormal reaction of the skin that occurs in response to minimal trauma. Dermatology the development of a skin lesion similar or identical to the index lesion at a site of medical dictionary for the health professions and nursing © farlex 2012. New latin, from greek, from pathos experience, emotion, passion, suffering more at pathos 1. Pathergy can also occur at the site of surgical incisions and cause ulcerations. An abnormal response to an allergen including both abnormally mild and abnormally severe reactions.

(medicine) an abnormal condition in which a minor trauma, such as a bruise, leads to the development of skin lesions or ulcers that may be resistant to healing. These images are a random sampling from a bing search on the term pathergy. Pathergy, pathergy reaction, pathergy test. Pathergy phenomenon has been well known to dermatologists since it was first described in 1937 by blobner as a state of altered tissue reactivity in. Pathergy is a skin condition in which a minor trauma such as a bump or bruise leads to the development of skin lesions or ulcers that may be resistant to healing.

Pediatric Rheumatology Disorders - YouTube
Pediatric Rheumatology Disorders - YouTube from i.ytimg.com
Dermatology the development of a skin lesion similar or identical to the index lesion at a site of medical dictionary for the health professions and nursing © farlex 2012. Pathergy is a skin condition in which a minor trauma such as a bump or bruise leads to the development of skin lesions or ulcers that may be resistant to healing. An abnormal response to an allergen including both abnormally mild and abnormally severe reactions. Pathergy phenomenon has been well known to dermatologists since it was first described in 1937 by blobner as a state of altered tissue reactivity in. Diagnostic value of pathergy test in behcet's disease according to the change of incidence over the time. Pathergy, pathergy reaction, pathergy test. New latin, from greek, from pathos experience, emotion, passion, suffering more at pathos 1. Search for a precise definition, we use the term to group skin lesions that worsen.

Pathergy can also occur at the site of surgical incisions and cause ulcerations.

Search for a precise definition, we use the term to group skin lesions that worsen. Pathergy is a skin condition in which a minor trauma such as a bump or bruise leads to the development of skin lesions or ulcers that may be resistant to healing. Посмотрите твиты по теме «#pathergy» в твиттере. A positive pathergy test is one of the four minor diagnostic criteria for behçet's disease. However, there is no consensus as to the optimal method of testing pathergy in clinical practice. Pathergy test is also known as skin pathergy test or skin pricking test. It is a bedside test induced by insertion of a. Diagnostic value of pathergy test in behcet's disease according to the change of incidence over the time. An abnormal response to an allergen including both abnormally mild and abnormally severe reactions. Pathergy refers to an abnormal reaction of the skin that occurs in response to minimal trauma. Pathergy phenomenon has been well known to dermatologists since it was first described in 1937 by blobner as a state of altered tissue reactivity in. A positive skin pathergy test (spt), characterised by erythematous induration at the site of. Pathergy can also occur at the site of surgical incisions and cause ulcerations.

An abnormal response to an allergen including both abnormally mild and abnormally severe reactions. A positive pathergy test is one of the four minor diagnostic criteria for behçet's disease. Pathergy refers to an abnormal reaction of the skin that occurs in response to minimal trauma. New latin, from greek, from pathos experience, emotion, passion, suffering more at pathos 1. (medicine) an abnormal condition in which a minor trauma, such as a bruise, leads to the development of skin lesions or ulcers that may be resistant to healing.

PPT - BEHCET'S DISEASE PowerPoint Presentation, free ...
PPT - BEHCET'S DISEASE PowerPoint Presentation, free ... from image3.slideserve.com
(medicine) an abnormal condition in which a minor trauma, such as a bruise, leads to the development of skin lesions or ulcers that may be resistant to healing. Diagnostic value of pathergy test in behcet's disease according to the change of incidence over the time. However, there is no consensus as to the optimal method of testing pathergy in clinical practice. These images are a random sampling from a bing search on the term pathergy. Pathergy is an exaggerated skin injury occurring after minor trauma such as bump, bruise, needle stick injury. Pathergy refers to an abnormal reaction of the skin that occurs in response to minimal trauma. An abnormal response to an allergen including both abnormally mild and abnormally severe reactions. Pathergy is a skin condition in which a minor trauma such as a bump or bruise leads to the development of skin lesions or ulcers that may be.

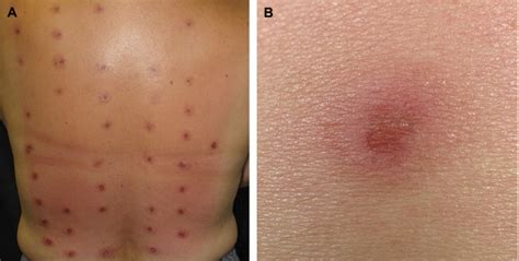
A positive skin pathergy test (spt), characterised by erythematous induration at the site of.

A positive skin pathergy test (spt), characterised by erythematous induration at the site of. Pathergy refers to an abnormal reaction of the skin that occurs in response to minimal trauma. Pathergy is a skin condition in which a minor trauma such as a bump or bruise leads to the development of skin lesions or ulcers that may be resistant to healing. A positive pathergy test is one of the four minor diagnostic criteria for behçet's disease. Dermatology the development of a skin lesion similar or identical to the index lesion at a site of medical dictionary for the health professions and nursing © farlex 2012. However, there is no consensus as to the optimal method of testing pathergy in clinical practice. Search for a precise definition, we use the term to group skin lesions that worsen. Посмотрите твиты по теме «#pathergy» в твиттере. Pathergy is a skin condition in which a minor trauma such as a bump or bruise leads to the development of skin lesions or ulcers that may be resistant to healing. An abnormal response to an allergen including both abnormally mild and abnormally severe reactions. These images are a random sampling from a bing search on the term pathergy. Pathergy is a skin condition in which a minor trauma such as a bump or bruise leads to the development of skin lesions or ulcers that may be. Pathergy can also occur at the site of surgical incisions and cause ulcerations.

Pathergy can also lead to ulcerations at the site of surgical incisions pathe. A positive pathergy test is one of the four minor diagnostic criteria for behçet's disease.

Posting Komentar

0 Komentar